Send us an email
Before After
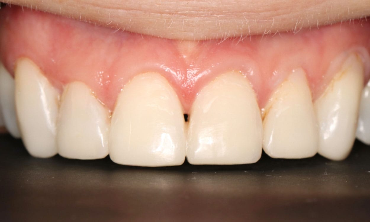
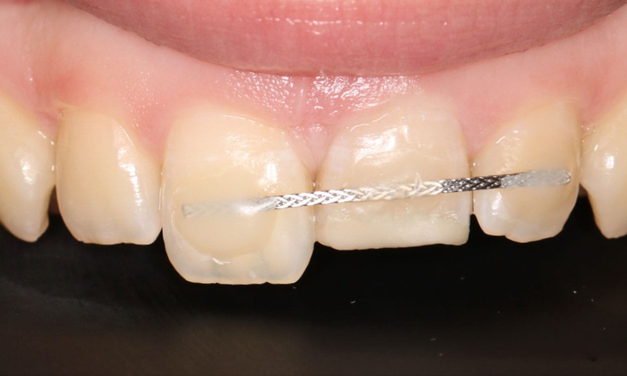
Case 1 - Composite Work
Before After
Case 2 - Composite Work
Before After
Case 3 - Composite Work
Before After
Case 4 - Crowns
Before After
Case 5 - Crowns
Before After
Case 6 - Teeth Whitening
Before After
Case 7 - Teeth Whitening
Before After
Case 8 - Teeth Whitening
Before After
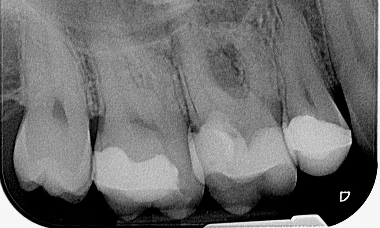
Case 9 - Root Canal
Before After
Case 10 - Root Canal
Before After
Case 11 - Airflow
Before After
Case 12 - Invisalign and Bonding
Before After
Case 13 - Invisalign
Before After
Case 14 - Invisalign

Our incredible reviews from happy patients

calendar icon Book location icon Find phone icon Call